Root Canal Treatment

Treatment that offers an alternative to tooth extraction.

Root Canal Treatment

Alternative to tooth extraction

Sometimes a nerve in a tooth becomes damaged by trauma or tooth decay. Root Canal Treatment or Endodontic therapy or root canal therapy is a sequence of treatment that offers an alternative to tooth extraction.

In this procedure the nerve or dental pulp of the tooth is removed. This is done over several appointments and a temporary filling is used between these appointments to protect the tooth.

Contact Now
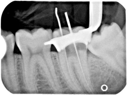
Xray of a Root Canal Operation

Xray of a Root Canal Operation — Image from Wikipedia

Root Canal procedure

Root canal procedure — Image from Wikipedia

Root Canal Treatment

Root Canal Procedure

Unhealthy or injured tooth, subsequent creation of an access cavity with a dental handpiece, cleaning & shaping the root canals with an endodontic file, and restoration with gutta-percha filling and a crown.